Atypisk svær intrauterin væksthæmning og påvirket placentafunktion efter COVID-19-infektion


Frederikke Bohsen Ravn1, Charlotte Kvist Ekelund1, Berit Woetmann Pedersen1, Tina Elisabeth Olsen2 & Lisa Neerup Jensen1
Der er påvist sammenhæng mellem COVID-19-infektion med deltavarianten under graviditet og øget risiko for spontan abort [1], intrauterin væksthæmning (FGR) [1], præterm fødsel med neonatal død [2] og intrauterin fosterdød (IUFD) [3].
Undersøgelser af placenta fra cases med intrauterint eller neonatalt døde børn, hvor kvinden havde COVID-19 under graviditeten, har vist varierende grader af placentitis med en gennemgående triade af akut/kronisk intervillositis, øgede fibrinaflejringer og trofoblastnekrose, hvilket resulterede i potentielt øget risiko for både FGR og IUFD [2].
En sund og rask 29-årig kvinde, der i første graviditet havde født et væksthæmmet barn (–35%) til terminen (væksthæmningen blev tilskrevet intrauterin cytomegalovirusinfektion), henvendte sig i anden graviditet grundet mindre liv i gestationsuge (GA) 25. Graviditeten havde været ukompliceret med normal 2. trimester-skanning. Hun var 12 dage forinden blevet testet COVID-19-positiv og havde haft milde symptomer i en uge. Hun var ikke COVID-19-vaccineret. På fødemodtagelsen var objektiv undersøgelse samt kardiotokografi normal, den gravide mærkede liv igen og gik hjem.
Seks dage senere henvendte hun sig igen, da hun følte mindre liv. En UL-skanning viste svær væksthæmning (- 38%), abnorme føtale flow (ophævet diastolisk flow i a. umbilicalis og lav cerebro-placentar-ratio), anhydramnios og sparsomme fosterbevægelser. Der blev givet lungemodning, og graviditeten blev herefter fulgt tæt, primært ambulant med UL-skanning 3-4 gange ugentligt frem til forløsning. Man fandt i ugerne efter vedvarende svært påvirkede føtale flow og vigende tilvækst (–45%), men grundet normale venøse flow og lav gestationsalder fandtes der ikke indikation for forløsning. Derfra fulgte over flere uger en uventet gradvis normalisering af fosterbevægelser og fostervandsmængde samt bedring af føtale flow. Der blev udført MR-skanning af fosterets hjerne i GA 30 med fund af små biometriske mål svarende til fosterets svære væksthæmning, men i øvrigt blev der fundet normale forhold.
Den gravide fik præterm primær vandafgang og kontraktioner i GA 35. Der blev udført akut sectio grad 3, da fosteret lå i underkropsstilling, og der var svær væksthæmning. Der forløstes et fint barn med apgarscore 10/10 og en vægt på 1.260 g svarende til –49%. Der var normale navlesnors-pH-værdier. Barnet blev indlagt på neonatalafdelingen. Det blev testet COVID-19-positiv på fjerdedagen, men forblev asymptomatisk. Barnet var senere i velbefindende og i trivsel.
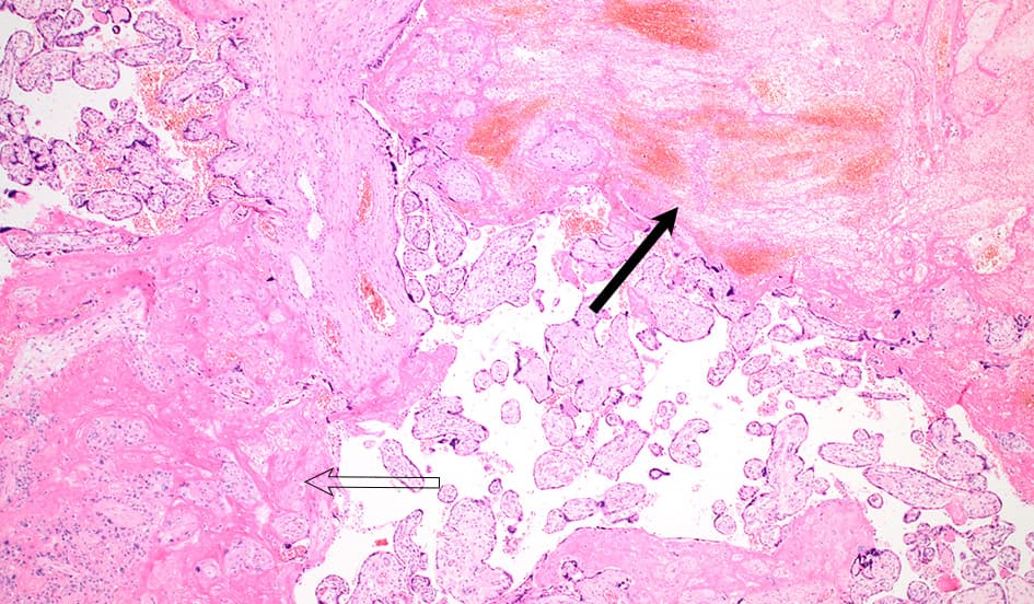
Histologisk undersøgelse af placenta (Figur 1) viste konfluerende organiserede intraplacentære hæmatomer, rigelige fibrinaflejringer, infarcerede villi chorii og organiserede intervilløse tromber af intermediær og ældre dato. Der var hverken akut eller kronisk intervillositis. Ved immunhistokemisk undersøgelse (IHC) kunne man ikke påvise SARS-CoV-2-nukleokapsid.
I pandemiens tidlige fase viste flere studier, at vertikal smitte under graviditeten var sjælden, og man fandt ingen øget risiko for IUFD hos COVID-19-positive gravide [4].
I efteråret 2021 fandt man i et stort amerikansk studie [3] en fire fold højere risiko for IUFD hos gravide, som var inficerede med COVID-19-deltavarianten, end hos ikkesmittede. På den baggrund udarbejdede Dansk Føtalmedicinsk Selskab i samråd med Dansk Selskab for Obstetrik og Gynækologi (DSOG) en guideline [5] omhandlende udvidet ultrasonisk kontrol og opfølgning hos COVID-19-positive gravide med mindre liv.
I den aktuelle sygehistorie er det tænkeligt, at infektion med deltavarianten medførte svær føtal væksthæmning. Forløbet er atypisk, idet der skete en bedring af fosterets tilstand over tid, hvilket er usædvanligt ved svær væksthæmning og påvirket placentafunktion. Det er nærliggende at tro, at det er COVID-19-infektionen, der har medført påvirkning af placenta. Manglende inflammation og negativ IHC i den postnatale placentaundersøgelse kan skyldes, at fødslen først fandt sted 12 uger efter infektionen. Den udtalte væksthæmning allerede 18 dage efter, at kvinden blev testet COVID-19-positiv, er påfaldende. En mulig forklaring på dette kunne være en underliggende suboptimal placentafunktion hos den gravide, hvilket kan være særligt disponerende for svær påvirkning af placenta i forbindelse med infektion med deltavarianten.
Sygdomsspekteret har varieret undervejs i COVID-19-pandemien, og man må formode, at variation fortsat vil forekomme i takt med nye virusmutationer. Der er derfor fortsat behov for tæt monitorering af epidemien og løbende opdatering af guidelines mhp. optimeret behandling af COVID-19-relateret sygdom hos gravide og deres fostre.
Korrespondance Frederikke Bohsen Ravn. E-mail: frederikke.bohsen.ravn.01@regionh.dk
Antaget 3. november 2022
Publiceret på ugeskriftet.dk 19. december 2022
Interessekonflikter Der er anført potentielle interessekonflikter. Forfatternes ICMJE-formularer er tilgængelige sammen med artiklen på ugeskriftet.dk
Referencer findes i artiklen publiceret på ugeskriftet.dk
Artikelreference Ugeskr Læger 2022;184:V08220465
Frederikke Bohsen Ravn, Charlotte Kvist Ekelund, Berit Woetmann Pedersen,
Tina Elisabeth Olsen & Lisa Neerup Jensen
Ugeskr Læger 2022;184:V08220465
This case report describes an atypical progression of pregnancy in a woman who was infected with COVID-19 in her second trimester and initially presented with signs of absent foetal movements. The foetus was diagnosed with severe intrauterine growth restriction and abnormal foetal Doppler flows. The condition slowly improved over months, and the pregnancy was terminated with an acute caesarean section in gestational week 35. Placenta was tested negative for SARS-CoV-2-nucleocapsid. Four days old, the child was found COVID-19-positive, but remained asymptomatic. This case is a rare example considering the improvement of placental function over time.
Rad HS, Röhl J, Stylianou N et al. The effects of COVID-19 on the placenta during pregnancy. Front Immunol. 2021;12:743022.
Schwartz DA, Avvad-Portari E, Babál P et al. Placental tissue destruction and insufficiency from covid-19 causes stillbirth and neonatal death from hypoxic-ischemic injury. Arch Pathol Lab Med. 2022;146(6):660-676.
DeSisto CL, Wallace B, Simeone RM et al. Risk for stillbirth among women with and without COVID-19 at delivery hospitalization — United States, March 2020–September 2021. MMWR Morb Mortal Wkly Rep. 2021;70(47):1640-1645.
Huntley BJF, Mulder IA, Di Mascio D et al. Adverse pregnancy outcomes among individuals with and without severe acute respiratory syndrome coronavirus 2 (SARS-CoV-2). Obstet Gynecol. 2021;137(4):585-596.
Westergaard HB, Schroll A, Helmig RB et al. Klinisk vejledning om håndtering af COVID-19-smittede gravide og fødende kvinder, deres partner og det nyfødte barn. www.dsog.dk/covid19 April 2022, version 11 (12. jun 2022).