Formålet med denne artikel er at give et overblik over diagnose, kliniske symptomer, disponerende faktorer, prævalens, radiologiske fund samt behandling af kliniske manifestationer af artrose i facet- og sacroiliaca (SI)-led.
Columna vertebralis består af syv cervikale, 12 torakale og fem lumbale ryghvirvler. Undtaget niveauet mellem første og anden cervikale hvirvel er alle hvirvellegemer forbundet med nabohvirvelen med tre artikulationer: Discus intervertebralis, der er interponeret mellem to nabocorpora, og to parrede facetled, der tilsammen danner et bevægelsessegment. Columna kan således betragtes som en struktur, der er sammensat af flere bevægelsessegmenter forbundet i serie. Facetleddenes størrelse, form og orientering ændrer sig ned gennem columna. Facetleddenes orientering bestemmer bevægelsesomfanget og retningen i det enkelte segment af columna [1]. Funktionelt er de tre artikulationer stærkt indbyrdes afhængige, således at ændringer i den ene påvirker de to andre og vice versa. Facetledsartrose er således tæt knyttet til den funktionelt beslægtede tilstand discusdegeneration, som påvirker strukturen af den forreste søjle af columna. Kombination af facetledsartrose og discusdegeneration kan medføre stabilitetstab af bevægelsessegmentet, hvorved både den koronale og den sagittale balance kan påvirkes.
Fakta
Hovedbudskaber
-
Degenerative forandringer i facetled og sacroiliaca (SI)-led forekommer hyppigt. Artrose i facetleddene ses sjældent isoleret, men i kombination med discusdegeneration.
-
Billeddiagnostik skal tolkes i en klinisk kontekst, da artroseforandringer forekommer hos både aymptomatiske personer og patienter med kroniske rygsmerter.
-
Behandling af artrose i facetled og SI-led består af analgetisk behandling, fysioterapi, blokader og spinal dekompression hos patienter med symptomgivende neurologisk påvirkning.
SI-leddene er de største synoviale aksiale led og indgår sammen med symphysis pubica i bækkenringens leddannelse. SI-leddet består nedadtil af bruskbeklædt knogle, synovial omslagsfold og ledkapsel samt opadtil af en fibrøs leddannelse [2]. Lændesmerter er globalt den hyppigste årsag til år levet med handikap [3]. Facetleddene og SI-leddet anses som smertegenerator hos hhv. 30% og 15-25% af patienterne med kroniske rygsmerter [4, 5].
DIAGNOSE
Facetled
Klinisk er der ikke beskrevet undersøgelser eller test, der er patognomoniske for symptomatisk facetledsartrose. Rygsmerter, der er værst om morgenen eller efter hvile samt forværres ved aksial belastning og hyperekstention af lænden, tolkes ofte som tegn på symptomatiske facetled. Andre symptomer som ensidige rygsmerter, smerter, der udløses ved palpation af facetledet, og smerter i glutealregionen eller den proksimale del af femur tolkes ligeledes ofte som udløst af artrosiske facetled [6, 7].
Sacroiliacaled
Der findes ingen valide diagnostiske test, som kan bruges til identifikation af patienter med symptomgivende SI-ledsartrose. Tilstanden er vanskelig at afgrænse over for SI-ledsdysfunktion, som er en kronisk smertetilstand med blandet ætiologi [8]. Symptomgivende SI-ledsartrose er en klinisk diagnose, der er baseret på anamnese/symptomer, positive kliniske test, radiologiske fund og evt. anlæggelse af en diagnostisk blokade [9, 10].
KLINISKE SYMPTOMER
Facetled
Den komplekse sammenhæng mellem facetledsartrose og diskusdegeneration fremstår meget forskelligt klinisk.
Mekaniske smerter fra facetleddene højcervikalt kan radiere op til baghovedet og forårsage hovedpine. Midt- og lavcervikalt kan smerterne udstråle til scapularegionen og skulderåget. Lumbalt beskrives lokale og pseudoradikulære smerter, der kan udstråle til gluteal- og trochanterregionen samt den proksimale del af femur.
Ved hypertrofi eller subluksation af facetleddene i kombination med discusdegeneration kan der udvikles radikulære smerter til over- eller underekstremiteterne eller spinalstenose. Spinalstenose er et klinisk syndrom med forskellige manifestationer afhængigt af forsnævringens lokalisering – centralt, i recessen eller foramen. Patienterne er generelt generet af lændesmerter, nedsat gangdistance og eventuelt smerter i underekstremiteterne. Differentialdiagnostisk må man udelukke andre årsager til bensmerter og nedsat gangdistance.
Ved ændret sagittalbalance sekundært til discusdegeneration ses der udtrætning af rygmuskulaturen og smerter som følge af den ændrede balance. Både ved smerter, der er isoleret til facetleddene, og degenerativ betinget stenose af spinalkanalen er der manglende korrelation mellem sværhedsgraden af de radiologiske forandringer og symptomerne [11, 12].
Sacroiliacaled
Symptomerne omfatter lokale smerter omkring SI-leddet med udstråling til glutealregionen, baglårene og lyskeregionen. Smerteudstråling til forskellige dermatomer er beskrevet, herunder S1-dermatomet. Gangen kan være haltende, og smerterne er typisk mekaniske med forværring ved belastninger og lindring ved aflastning i modsætning til den inflammatoriske rygsmerte, som er kendetegnet ved natlig forværring, morgenstivhed og lindring ved aktivitet. Sidstnævnte er associeret til aksial spondylartritis.
DISPONERENDE FAKTORER
Facetled
I cervikalcolumna er alder og forhøjet BMI associeret med artrose, og der er ikke identificeret andre faktorer [13]. Lumbalt er der ud over alder og BMI beskrevet øget incidens hos kvinder og kaukasider. Ud over disse traditionelle epidemiologiske risikofaktorer er der ligeledes beskrevet øget hyppighed af facetledsartrose ved samtidig reduktion af discushøjden [14].
Sacroiliacaled
Risikofaktorer udgøres af uens benlængde, holdningsanomalier, skoliose, stivgørende rygoperation, gennemført graviditet og ekstensiv belastning ved sportsaktiviteter [4].
PRÆVALENS
Facetled
Der findes meget få studier, hvor man beskriver incidens og prævalens af facetledsartrose. I et amerikansk tværsnitsstudie fra 2011 [14] har man angivet prævalensen af moderat til svær facetledsartrose vurderet ved CT til at være 36-89% stigende med alderen. I et kadaverstudie beskrives facetledsartrose hos mere end halvdelen af voksne under 30 år og alle over 60 år [15].
Sacroiliacaled
Der findes ikke eksakte tal for prævalensen af symptomatisk artrose i SI-led, jf. manglende konsensus om diagnostiske kriterier. Ved CT påvises der degenerative forandringer hos 37% af asymptomatiske voksne i alderen 30-39 år stigende til over 85% hos 60+-årige [16]
RADIOLOGISKE UNDERSØGELSER
Facetled
I facetledsartrose indgår både degenerative og proliferative elementer herunder ledspalteafsmalning, subartikulær knoglerosion, subkondrale cyster og osteofytter [17]. I lænden visualiseres facetleddene bedst ved skråoptagelser pga. facetleddenes orientering, dog kan man ved skråoptagelsen kun skelne mellem tilstedeværelse og fravær af facetledsartrose [13]. Laterale optagelser bør tages med patienten stående for at visualisere eventuel instabilitet og sagittalbalance (Figur 1). Med CT demonstreres facetleddene i sekventielle tværsnit med mulighed for supplerende tredimensionelle rekonstruktioner, hvilket optimerer visualiseringen af morfologien og eventuelle strukturelle forandringer af leddet. På trods af at CT er bedre end MR-skanning til vurdering af knoglepatologi, er der moderat til god overensstemmelse mellem resultaterne af de to undersøgelsestyper [18].
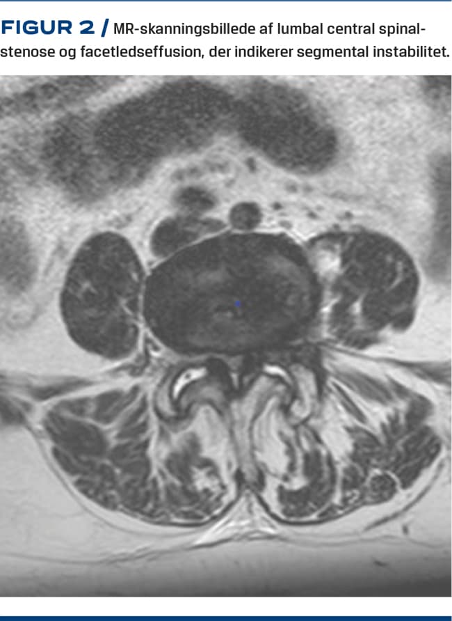
Med MR-skanning kan man som med CT påvise artroseforandringer i facetleddene. Dog undervurderes graden af artrose oftere ved MR-skanning end ved CT, men MR-skanning er bedre til visualisering af forandringer i de omkringliggende strukturer såsom påvirkning af de neurale strukturer, facetledscyster og -ansamlinger samt knogleødem (Figur 2). Baseret på MR-skanning har Fujiwara et al forslået en klassifikation fra grad 1, hvor der er normale forhold, og op til grad 4, hvor der forekommer udtalte osteofytter [19].
Positronemissionstomografi (PET)-CT eller PET-MR-skanning er nye modaliteter, der kombinerer PET med henholdsvis CT eller MR-skanning. Tilsvarende andre modaliteter er der ringe sammenhæng mellem billeddiagnostik og klinisk resultat [20].
Sacroiliacaled
Ved røntgenoptagelse af bækkenet/SI-led kan man påvise sværere grader af artrose i form af osteofytter, sklerosering og ledspalteafsmalning. Pga. leddets lejring er undersøgelsen ikke sensitiv for lettere forandringer. Ved CT påvises der fokal irregulær ledspalteafsmalning, marginale osteofytter, subkondral sklerosering, cystedannelse og vakuumfænomener (Figur 3). Der observeres samme grad af artrose hos patienter med kroniske SI-ledsmerter og raske kontrolpersoner, og CT er ikke valideret til identifikation af symptomatisk SI-ledsartrose [21]. Ved MR-skanning kan man ligesom ved CT påvise uregelmæssig ledspalteafsmalning, osteofytter og forskellige grader af sklerosering [22]. Subkondral eller periartikulær knoglemarvsødem er et hyppigt fund hos patienter, der har kroniske uspecifikke rygsmerter på degenerativ basis [23]. Degenerative forandringer ses hos både aymptomatiske patienter og patienter med kroniske rygsmerter og kan ikke stå alene uden en klinisk vurdering.
BEHANDLING AF FACETSLEDSARTROSE OG SACROILIACALEDSARTROSE
Nonfarmakologisk behandling
Nonfarmakologisk behandling består af korrektion af modificerbare risikofaktorer som overvægt og ved SI-ledsartrose korrektion af uens benlængde.
Farmakologisk behandling
Analgetika
Analgetika kan anvendes hos patienter, som har symptomatiske artrosesmerter. Her anvendes paracetamol pga. gunstig bivirkningsprofil. Nonsteroide antiinflammatoriske stoffer kan anvendes i lavest mulige dosis, som giver kontrol over smerterne, under hensyntagen til kontraindikationer. Morfika søges undgået.
Fysioterapi og manuel behandling
Disse behandlingsformer er beskrevet til behandling af symptomatiske facet- og SI-led.
Træningsforsøg kan afprøves, hvor styrke, længde og neurologisk funktion opøves af de muskler, som kontrollerer kraftoverførsel over leddene. Manipulation er beskrevet som behandling til både facet- og SI-ledssmerter, men er uden sikker evidens. Specifikt for spinalstenose er der er beskrevet en bred vifte af konservative behandlingsmodaliteter til lindring og bedring af patienternes symptomer. I et Cochranereview konkluderes det, at der er insufficient evidens for at anbefale en form for nonoperativ behandling frem for andre [24].
Blokader
Blokade af SI-led og facetled med lokaltbedøvende lægemidler tilsat steroid kan anvendes dels diagnostisk, dels som symptomatisk behandling [10].
Denervering
Denervering ved enten radiofrekvens (RF) eller cryoneurolysis (CN) af facet og SI-led er omdiskuteret.
I et systematisk review fra 2015 konkluderes det, at radiofrekvensdenervering af facetled i lænden har effekt på smerterne i op til seks måneder [25]. I en publikation fra Holland rapporteres der om tre randomiserede forsøg med denervering af henholdsvis facetled, SI-led eller både SI- og facetled i tillæg til sædvanlig behandling. Der fandtes ingen klinisk relevant effekt af behandlingen [26].
Der foreligger ingen studier, hvor man sammenligner effekten af RF og CN til behandling af facetledssmerter. Ved CN er der beskrevet op til 50% reduktion af smerterne i op til seks måneder efter behandlingen [27].
Operation
Alloplastik
Der er beskrevet enkelte eksperimentelle studier, hvor man har indsat facetledsalloplastikker i meget små patientserier. Der konkluderes, at det er en mulig fremtidig behandling hos udvalgte patienter [28].
Spinal dekompression
Der kan være indikation for kirurgisk dekompression ved smerteudstråling til underekstremiteterne, begyndende pareser og betydende føleudfald pga. spinalstenose. Der er relativ indikation ved reduktion af gangdistancen og balanceproblemer.
Artrodese
Artrodese af ryggen på isoleret smerteindikation uden samtidig neurologisk påvirkning af patienten er kontroversiel. I et systematisk review og metaanalyse af Yavin et al sammenlignes fusionskirurgi og nonoperativ behandling af patienter med kroniske lændesmerter [29]. I metaanalysen angives der større smertelindring ved kirurgi.
Hvis der foretages artrodese, er det essentielt at bevare eller genskabe den sagittale balance. Der foreligger data, der viser sammenhæng mellem bevaret balance og et godt klinisk outcome.
Sacroiliacaled
Artrodese af SI-leddet blev først beskrevet i 1921. Der er udviklet perkutane minimalt invasive operationsmetoder. I et review beskrives markant reduktion af smerter og bedring af funktion, uden at patienterne bliver fuldt smertefrie eller opnår normal funktion [30].
KONKLUSION
Artroseforandringer i facetled og SI-led opstår hos yngre voksne og udvikler sig gradvist med stigende alder. Artrose i facetleddene ses sjældent isoleret, men i kombination med discusdegeneration. Denne ændring af den strukturelle stabilitet i bevægelsessegmentet kan manifestere sig med nakke- og rygsmerter, pseudoradikulære eller radikulære smerter i over- eller underekstremiteterne, spinalstenose og udtrætning af rygmuskulaturen som følge af ændret balance.
KORRESPONDANCE: Mikkel Østerheden Andersen. E-mail: mikkel.andersen2@rsyd.dk
ANTAGET: 1. september 2020
PUBLICERET PÅ UGESKRIFTET.DK: 12. oktober 2020
INTERESSEKONFLIKTER: Forfatternes ICMJE-formularer er tilgængelige sammen med artiklen på Ugeskriftet.dk
LITTERATUR: Findes i artiklen publiceret på Ugeskriftet.dk
Summary
Osteoarthritis of facet and sacroiliac joints
Mikkel Østerheden Andersen, Anette Koch Holst & Hans Christian Horn
Ugeskr Læger 2020;182:V05200308
This review gives a summary of osteoarthritis (OA) of the spine involving the facet and the sacroiliac joints. Facet joint OA is widely prevalent in adults, and is thought to be a common cause of back and neck pain. The prevalence of facet and SI-joint mediated pain increases with age, suggesting that OA might have a particularly important role in older adults with spinal pain. Treatment options of symptomatic facet- and SI-joint degeneration consist of non-opioid analgesics, physiotherapy or in patients with persistent back or leg pain of either spinal decompression or fusion.
Referencer
Litteratur
-
Kiapour A, Joukar A, Elgafy H et al. Biomechanics of the sacroiliac joint: anatomy, function, biomechanics, sexual dimorphism, and causes of pain. Int J Spine Surg 2020;14(suppl 1):3-13.
-
Puhakka KB, Melsen F, Jurik AG et al. MR imaging of the normal sacroiliac joint with correlation to histology. Skeletal Radiol 2004;33:15-28.
-
Hoy D, March L, Brooks P et al. The global burden of low back pain: estimates from the Global Burden of Disease 2010 study. Ann Rheum Dis 2014;73:968-74.
-
Cohen SP. Sacroiliac joint pain: a comprehensive review of anatomy, diagnosis, and treatment. Anesth Analg 2005;101:1440-53.
-
DePalma MJ, Ketchum JM, Saullo T. What is the source of chronic low back pain and does age play a role? Pain Med 2011;12:224-33.
-
Manchikanti L, Singh V, Pampati V et al. Evaluation of the relative contributions of various structures in chronic low back pain. Pain Physician 2001;4:308-16.
-
Perolat R, Kastler A, Nicot B et al. Facet joint syndrome: from diagnosis to interventional management. Insights Imaging 2018;9:773-89.
-
Cohen SP, Chen Y, Neufeld NJ. Sacroiliac joint pain: a comprehensive review of epidemiology, diagnosis and treatment. Expert Rev Neurother 2013;13:99-116.
-
Telli H, Telli S, Topal M. The validity and reliability of provocation tests in the diagnosis of sacroiliac joint dysfunction. Pain Physician 2018;21:e367-e376.
-
Jung MW, Schellhas K, Johnson B. Use of diagnostic injections to evaluate sacroiliac joint pain. Int J Spine Surg 2020;14(suppl 1):30-4.
-
Sigmundsson FG, Kang XP, Jönsson B et al. Correlation between disability and MRI findings in lumbar spinal stenosis: a prospective study of 109 patients operated on by decompression. Acta Orthop 2011;82:204-10.
-
Tomkins-Lane CC, Quint DJ, Gabriel S et al. Nerve root sedimentation sign for the diagnosis of lumbar spinal stenosis: reliability, sensitivity, and specificity. Spine (Phila Pa 1976) 2013;38:E1554-60.
-
Bernard TE, Wilder FV, Aluoch M et al. Job-related osteoarthritis of the knee, foot, hand, and cervical spine. J Occup Environ Med 2010;52:33-8.
-
Suri P, Miyakoshi A, Hunter DJ et al. Does lumbar spinal degeneration begin with the anterior structures? BMC Musculoskelet Disord 2011;12:202.
-
Eubanks JD, Lee MJ, Cassinelli E et al. Prevalence of lumbar facet arthrosis and its relationship to age, sex, and race: an anatomic study of cadaveric specimens. Spine (Phila Pa 1976) 2007;32:2058-62.
-
Eno JJ, Boone CR, Bellino MJ et al. The prevalence of sacroiliac joint degeneration in asymptomatic adults. J Bone Joint Surg Am 2015;97:932-6.
-
Pathria M, Sartoris DJ, Resnick D. Osteoarthritis of the facet joints: accuracy of oblique radiographic assessment. Radiology 1987;164:227-30.
-
Weishaupt D, Zanetti M, Boos N et al. MR imaging and CT in osteoarthritis of the lumbar facet joints. Skeletal Radiol 1999;28:215-9.
-
Fujiwara A, Tamai K, Yamato M et al. The relationship between facet joint osteoarthritis and disc degeneration of the lumbar spine: an MRI study. Eur Spine J 1999;8:396-401.
-
Lehman VT, Diehn FE, Broski SM et al. Comparison of [(18)F] FDG-PET/MRI and clinical findings for assessment of suspected lumbar facet joint pain: a prospective study to characterize candidate nonanatomic imaging biomarkers and potential impact on management. AJNR Am J Neuroradiol 2019;40:1779-85.
-
Backlund J, Clewett Dahl E, Skorpil M. Is CT indicated in diagnosing sacroiliac joint degeneration? Clin Radiol 2017;72:693.e9-693.e13.
-
Eshed I, Lidar M. MRI findings of the sacroiliac joints in patients with low back pain: alternative diagnosis to inflammatory sacroiliitis. Isr Med Assoc J 2017;19:666-9.
-
Arnbak B, Jensen RK, Manniche C et al. Identification of subgroups of inflammatory and degenerative MRI findings in the spine and sacroiliac joints: a latent class analysis of 1037 patients with persistent low back pain. Arthritis Res Ther 2016;18:237.
-
Ammendolia C, Stuber KJ, Rok E et al. Nonoperative treatment for lumbar spinal stenosis with neurogenic claudication. Cochrane Database Syst Rev 2013;8:CD010712.
-
Manchikanti L, Hirsch JA, Falco FJ et al. Management of lumbar zygapophysial (facet) joint pain. World J Orthop 2016;7:315-37.
-
Juch JNS, Maas ET, Ostelo R et al. Effect of radiofrequency denervation on pain intensity among patients with chronic low back pain: the Mint Randomized Clinical Trials. JAMA 2017;318:68-81.
-
Birkenmaier C, Veihelmann A, Trouillier H et al. Percutaneous cryodenervation of lumbar facet joints: a prospective clinical trial. Int Orthop 2007;31:525-30.
-
de Kelft EV. Lumbar facet resurfacing: first experience with the FENIX implant. Clin Spine Surg 2016;29:e475-e481.
-
Yavin D, Casha S, Wiebe S et al. Lumbar fusion for degenerative disease: a systematic review and meta-analysis. Neurosurgery 2017;80:701-15.
-
Martin CT, Haase L, Lender PA et al. Minimally invasive sacroiliac joint fusion: the current evidence. Int J Spine Surg 2020;14(suppl 1):20-9.