Skip to main content

Nydiagnosticeret melanom diagnosticeret på basis af kutane bivirkninger efter COVID-19-vaccination

Hassan Ali Eskandarani1, Caroline Gjørup1, Peter Nørgaard2 & Lisbet Rosenkrantz Hölmich1

30. maj 2022
5 min.

De forskellige COVID-19-vacciner udviser forskellige immunologiske profiler og bivirkninger. Den vektorbaserede COVID-19-vaccine (adenovirus) blev godkendt 29. januar 2021, og den 14. april 2021 besluttede Sundhedsstyrelsen at lade den udgå fra det danske vaccinationsprogram som følge af sjældne, men alvorlige tilfælde af tromboser, blødning og trombocytopeni [1].

Vi præsenterer en sygehistorie, hvor den immunologiske reaktion på vaccinen måske har forårsaget, at et tyndt melanom på crus blev symptomatisk, hvorfor patienten blev opmærksom på det og søgte behandling.

SYGEHISTORIE

En 47-årig i øvrigt rask kvinde udviklede i de to første døgn efter første stik med den vektorbaserede COVID-19-vaccine (adenovirus) symptomer i form af let tandkødsblødning, ansigtshævelse og en vægtøgning på ca. 2 kg. På tredjedagen begyndte det at klø og bløde profust i et modermærke på underbenet. Modermærket havde ikke tidligere generet. Blødningen opstod angiveligt spontant, og patienten havde ikke kløet på modermærket. Der var ingen feber eller øvrige systemiske bivirkninger. Der var i forbindelse med telefonvisitationen ikke mistanke om melanom, hvorfor hun måtte vente i godt to måneder på at komme til hudlæge. I denne periode var der kløe af og til omkring den pigmenterede læsion, som også blødte én gang mere. Patienten udviklede ingen kutane symptomer efter andet og tredje stik med COVID-19 mRNA-vaccinen.

Den pigmenterede hudtumor, som målte 5 mm i diameter, blev fjernet ved en praktiserende dermatolog med en 6 mm stansebiopsi på mistanke om pigmenteret basalcellekarcinom.

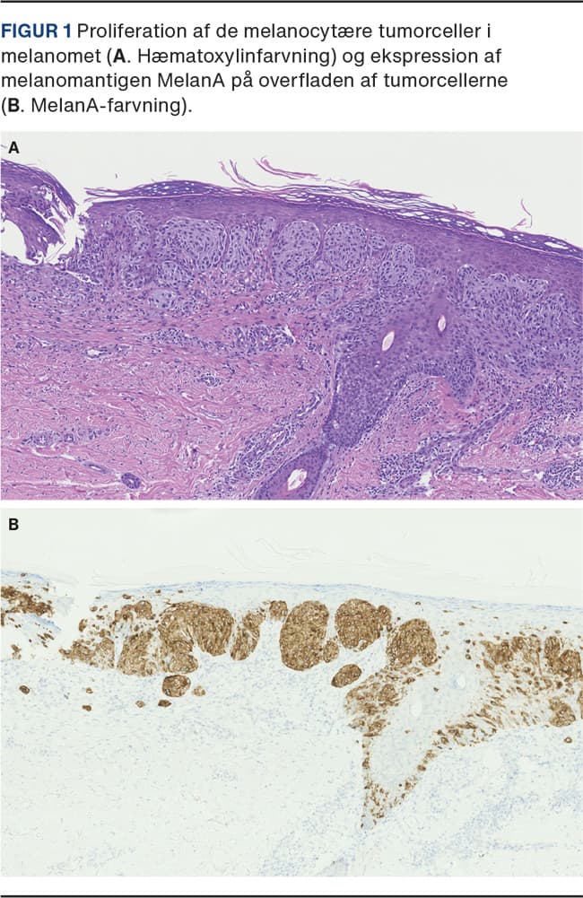
Histologi viste et superficielt spredende melanom med en Breslow-tumortykkelse på 0,5 mm uden ulceration eller mitoser, hvilket ville svare til en T1a-tumor (Figur 1). Patienten blev henvist til en plastikkirurgisk afdeling med henblik på videre behandling. Her fandtes en velophelet cikatrice på bagsiden af crus, og der var ingen synlig resttumor. Der blev foretaget standardbehandling i form af reexcision til i alt 1 cm excisionsmargin fra cikatricen, i dybden til muskelfascien. Ved tremånederskontrollen var cikatricen ophelet, og der var ingen klinisk suspekte elementer i huden eller patologiske lymfeknuder i lymfeknuderegionerne.

DISKUSSION

Melanom er en meget immunogen hudtumor, som aktiverer immunsystemet i tumorområdet vha. såkaldt molekylært cross-talk mellem cancerceller og immunceller. Herved aktiveres natural killer-celler, dendritiske celler, T-celler og B-celler. Men tumorcellerne har også evne til at undslippe dette forsvar, primært via mutationer (melanomceller har flere mutationer end nogen anden cancer), og kan derved unddrage sig den immunologiske overvågning [2].

Vektorbaseret COVID-19-vaccine (adenovirus) aktiverer dels B-celler, så der dels produceres specifikke antistoffer mod spikeproteinet på virus’ overflade, og dels giver vaccinen et højere T-cellerespons end andre vacciner [3]. Den formodede immunreaktion kom efter tre dage, hvilket er kort tid for et T-cellerespons i det adaptive immunforsvar, og aktivering af et innat immunrespons kan måske spille en rolle, idet der i litteraturen er beskrevet et omfattende innat respons på adenovirusvektorer [3].

Blødning fra tumor og tandkød kunne sandsynligvis også skyldes vaccineinduceret trombocytopeni, som menes at skyldes dannelse af antistoffer mod »platelet factor 4«. Tilstanden opstår typisk 5-30 dage efter vaccination, oftest efter første vaccine, og rammer oftere kvinder (61%) i et yngre alderssegment (medianalder 46 år). Klinisk ses der blødningstegn som blå mærker, blødning fra slimhinder, petekkier og undertiden mere alvorlige indre blødninger, herunder intracerebrale blødninger [4]. Der blev desværre ikke taget blodprøver, som kan substantiere dette, da dette ikke er vanlig praksis i initial udredning af melanomer.

I en anden case viste ipsilateral aksillær lymfadenopati kort efter COVID-19-vaccination sig at være metastatisk melanom, hvorfor underliggende malignitet i lignende tilfælde bør overvejes [5].

I denne case kan man måske opstille den hypotese, at AstraZeneca-vaccinens aktivering af et potent B- og T-cellerespons og også et innat immunrespons har boostet immunforsvaret i tumormiljøet, hvorved det blev symptomatisk. Alternativt har bivirkninger af vaccinen i form af trombocytopeni medført blødning. Under alle omstændigheder kan det have ført til, at patienten blev opmærksom på tilstanden og derved opnåede tidlig diagnosticering af melanomet.





Korrespondance Hassan Ali Eskandarani. E-mail: hassan.eskandarani@gmail.com

Antaget 1. april 2022

Publiceret på ugeskriftet.dk 30. maj 2022

Interessekonflikter ingen. Forfatternes ICMJE-formularer er tilgængelige sammen med artiklen på ugeskriftet.dk

Referencer findes i artiklen publiceret på ugeskriftet.dk

Artikelreference Ugeskr Læger 2022;184:V01220060

Summary

Newly diagnosed melanoma diagnosed on the basis of cutaneous side effects from COVID-19 vaccine

Hassan Ali Eskandarani, Caroline Gjørup, Peter Nørgaard & Lisbet Rosenkrantz Hölmich

Ugeskr Læger 2022;184:V01220060

While the Danish Health Authority has withdrawn the vaxzevria vaccine from the Danish vaccination programme due to reports of rare cases of severe side effects, this case report presents a potential beneficial side effect of this vaccine. A patient presented, three days after her first jab, with localized itching and bleeding from a pigmented tumour on her lower leg, which was therefore excised, and, unexpectedly, diagnosed as a melanoma. We speculate if the vaccine-induced immune reaction resulted in increased immune activity within the tumour environment, and thus facilitated the early diagnosis of melanoma.

Referencer

Referencer

  1. Statens Serum Institut. Covid-19 vaccine AstraZeneca (Vaxzevria). Covid-19 adeno vektor ChAdOx1 dispersion til injektion, 2021. https://www.ssi.dk/vaccinationer/vaccineleksikon/c/covid-19-vaccine-astrazeneca (9. mar 2022).

  2. Passarelli A, Mannavola F, Stucci LS et al. Immune system and melanoma biology: a balance between immunosurveillance and immune escape. Oncotarget. 2017;1;8(62):106132-42.

  3. Coughlan L. Factors which contribute to the immunogenicity of non-replicating adenoviral vectored vaccines. Front Immunol. 2020;19;11:909.

  4. Scully M, Singh D, Lown R et al. Pathologic antibodies to platelet factor 4 after ChAdOx1 nCoV-19 vaccination. N Engl J Med. 2021;384(23):2202-11.

  5. Gullotti DM, Lipson EJ, Fishman EK et al. Acute axillary lymphadenopathy detected shortly after COVID-19 vaccination found to be due to newly diagnosed metastatic melanoma. Radiol Case Rep. 2022;17(3):878-80.